Skip to main content
BOND-MMR-Hero-banner-US

BOND MMR Antibody Panel

Indicated for Gastrointestinal Pathology

Achieve accurate results in only 2.5 hours with 4 ready-to-use US FDA Class II MMR antibodies. For the detection of MMR protein deficiency as an aid in the differential diagnosis of Lynch Syndrome CRC in patients diagnosed with CRC.

INTRODUCING THE BOND MMR ANTIBODY PANEL

Image
Interpretation-Guide-640x410-1

Interpretation Guide

Lynch Syndrome is associated with a 50-70% lifetime risk of colorectal cancer (CRC) and an increased risk of other malignancies therefore identification of such high-risk patients is vital.

Download

Image
Accuracy-Study-640x410-2

Accuracy Study

The results of this study provide a comparison of the IHC staining profiles generated by the BOND MMR Antibody Panel and results of NGS analysis for a set of 137 CRC FFPE tissue samples.

Download

Fast. Efficient. Accurate.

View exceptional quality stains from the BOND MMR Antibody Panel focusing on three case outcomes with positive and negative slides for all markers.

Image
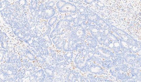
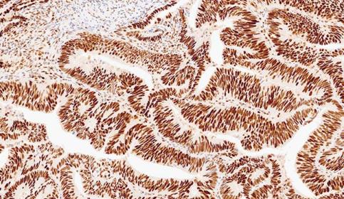
Case-A_MLH1_protein-intact

Name : Case A MLH1

Tissue : Bowel Adenocarcinoma

IHC Primary Antibody : MLH1 (Mismatch Repair Protein) (ES05) PA0988-U

Protein Expression : Intact

Related Products : BOND-III, BOND-MAX, Aperio GT 450, DS9800
Image
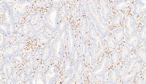
Case-A_MSH2_protein-loss

Name : Case A MSH2

Tissue : Bowel Adenocarcinoma

IHC Primary Antibody : MSH2 (Mismatch Repair Protein) (79H11) PA0989-U

Protein Expression : Loss

Related Products : BOND-III, BOND-MAX, Aperio GT 450, DS9800
Image
Case-A_MSH6_protein-loss

Name : Case A MSH6

Tissue : Bowel Adenocarcinoma

IHC Primary Antibody : MSH6 (Mismatch Repair Protein) (EP49) PA0990-U

Protein Expression : Loss

Related Products : BOND-III, BOND-MAX, Aperio GT 450, DS9800
Image
Case-A_PMS2_protein-intact

Name : Case A PMS2

Tissue : Bowel Adenocarcinoma

IHC Primary Antibody : PMS2 (Mismatch Repair Protein) (EP51) PA0991-U

Protein Expression : Intact

Related Products : BOND-III, BOND-MAX, Aperio GT 450, DS9800
Image
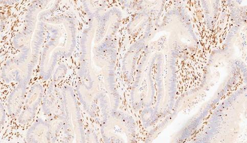
Case-B_MLH1_protein-loss

Name : Case B MLH1

Tissue : Bowel Adenocarcinoma

IHC Primary Antibody : MLH1 (Mismatch Repair Protein) (ES05) PA0988-U

Protein Expression : Loss

Related Products : BOND-III, BOND-MAX, Aperio GT 450, DS9800
Image
Case-B_MSH2_protein-intact

Name : Case B MSH2

Tissue : Bowel Adenocarcinoma

IHC Primary Antibody : MSH2 (Mismatch Repair Protein) (79H11) PA0989-U

Protein Expression : Intact

Related Products : BOND-III, BOND-MAX, Aperio GT 450, DS9800
Image
Case-B_MSH6_protein-intact

Name : Case B MSH6

Tissue : Bowel Adenocarcinoma

IHC Primary Antibody : MSH6 (Mismatch Repair Protein) (EP49) PA0990-U

Protein Expression : Intact

Related Products : BOND-III, BOND-MAX, Aperio GT 450, DS9800
Image
Case-B_PMS2_protein-loss

Name : Case B PMS2

Tissue : Bowel Adenocarcinoma

IHC Primary Antibody : PMS2 (Mismatch Repair Protein) (EP51) PA0991-U

Protein Expression : Loss

Related Products : BOND-III, BOND-MAX, Aperio GT 450, DS9800
Image
Case-C_MLH1_protein-intact

Name : Case C MLH1

Tissue : Bowel Adenocarcinoma

IHC Primary Antibody : MLH1 (Mismatch Repair Protein) (ES05) PA0988-U

Protein Expression : Intact

Related Products : BOND-III, BOND-MAX, Aperio GT 450, DS9800
Image
Case-C_MSH2_protein-intact

Name : Case C MSH2

Tissue : Bowel Adenocarcinoma

IHC Primary Antibody : MSH2 (Mismatch Repair Protein) (79H11) PA0989-U

Protein Expression : Intact

Related Products : BOND-III, BOND-MAX, Aperio GT 450, DS9800
Image
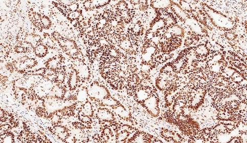
Case-C_MSH6_protein-intact

Name : Case C MSH6

Tissue : Bowel Adenocarcinoma

IHC Primary Antibody : MSH6 (Mismatch Repair Protein) (EP49) PA0990-U

Protein Expression : Intact

Related Products : BOND-III, BOND-MAX, Aperio GT 450, DS9800
Image
Case-C_PMS2_protein-intact

Name : Case C PMS2

Tissue : Bowel Adenocarcinoma

IHC Primary Antibody : PMS2 (Mismatch Repair Protein) (EP51) PA0991-U

Protein Expression : Intact

Related Products : BOND-III, BOND-MAX, Aperio GT 450, DS9800

FOR IN VITRO DIAGNOSTIC USE ONLY