Skip to main content

HALO AP Dx Image Management Solution

Empowering On-Screen Diagnostics

HALO AP Dx from Indica Labs is a pathologist-driven software platform with intuitive workflows for routine clinical digital pathology including primary diagnosis, tumor boards, consultations, and second opinions. The browser-based image management system makes it ideal for remote working, leveraging expertise across multi-site hospital systems, and connecting with specialists both in and outside of your network.

HALO AP Dx software combined with the Aperio GT 450 DX scanner provides a complete, best-in-class clinical system for users leveraging digital pathology to advance and accelerate diagnostics.

Advanced interoperability plus DICOM and SVS file format options simplify integration with existing systems, enabling pathology departments to customize deployments optimized to their set-up.

HALO AP Dx brings together patient data, whole slide images, and reports in an ergonomic, case-based platform designed for pathology.

Contact us to get a quote. Call +1 312 565 6737 to speak with a representative.

For In Vitro Diagnostic Use
HALO AP Dx (K252762) has received FDA 510(k) clearance for primary diagnostic use with the Leica Biosystems’ Aperio GT 450 DX Scanner in the USA. In addition, HALO AP Dx provides built-in compliance with FDA 21 CFR Part 11 and HIPAA.

Product Overview

Faster Diagnoses

Streamline the diagnostic process through centralized review of all slides, gross images, clinical notes, and prior patient case history all in one location. The case-centric HALO AP Dx software enables whole slide images from the Aperio GT 450 DX scanner to be reviewed from any location as soon as they are scanned, allowing pathologists to diagnose cases remotely without waiting on the physical transfer of slides.

Image
HALO-AP-Dx-Faster-Diagnoses

Tumor Boards

Optimize Tumor Board preparation and modernized meetings with the dedicated, intuitive workflow in HALO AP Dx. Quickly build case lists ahead of meetings and eliminate the stress of last-minute case additions. With all clinical information, case notes, annotations and comments at your fingertips, you can readily recall key information during discussions.

Image
HALO-AP-Dx-Tumor-Boards

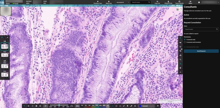
Second Opinions and Consultation

HALO AP Dx offers a wide range of tools to enhance the process of collaboration and consultation. Easily leverage the full expertise of your pathologist network, both within and outside of your organization.

With just a few clicks you can request second opinions from internal or external collaborators, ensuring the right case is reviewed by the right pathologist, quickly. Choose to deidentify or fully anonymize cases with external consultants to ensure all patient-sensitive information remains secure and protected. Online, real-time sharing of slides helps to reduce costs and turnaround times associated with manual slide shipping.

Image
HALO-AP-Dx-Second-Opinions-and-Consultation.jpg

Real-time Conferencing

Built-in Case Conferencing brings slide discussions to a whole new level. Incorporating the benefits of simultaneous slide review, traditionally achieved with a multi-head microscope, with the convenience and flexibility of digital pathology, Case Conferencing is the ideal solution for live consultations and teaching.

Share presenter views, annotations, and comments in real time with easy access to conferencing tools, and transfer control with one click for seamless navigation and collaboration.

Image
HALO-AP-Dx-Real-time-Conferencing

Integrated Reporting

Clinicians can create and customize synoptic reports, whether adhering to standardized protocols or developing proprietary templates. These reports are seamlessly displayed alongside case images, enabling a more holistic and efficient review of pathology data.

Image
HALO-AP-Dx-Integrated-Reporting

Clinical Trials

HALO AP Dx streamlines clinical trails across multiple hospitals and CROs by enabling coordinators to create, manage, and monitor trials from a single interface. The blind scoring feature simplifies blinded workflows, making clinical trails, research studies, and system performance validation easier to conduct, while easy exporting means results are readily available for downstream analysis.

Image
HALO-AP-Dx-Clinical-Trials

Integration

HALO AP Dx Integrates into Existing Frameworks

HALO AP Dx works seamlessly with a broad range of laboratory information systems (LIS) instead of replacing them. Access the right data at the right time by integrating with your LIS, eliminating the need to move between platforms. Open, API-first technology and standardized bi-directional communication protocols enable interoperability with clinical systems.

Image
HALO-AP-Dx-HALO-AP-Dx-Integrates-into-Existing-Frameworks

Customized, Secure Deployments

HALO AP Dx offers on-premise or cloud-based deployments designed to work within existing IT frameworks. Interfacing with both the Aperio GT 450 DX and a PACS or VNA enables automated import, storage and management of DICOM WSIs.

The Deep Archive module enables customers using AWS cloud deployments to leverage S3 Glacier Deep Archive storage to deliver significant savings for long term storage while maintaining slide accessibility.

Enterprise-grade administration functionality enables easy scaling of the number of users in growing pathology laboratories, departments and networks. Readily configure roles and permissions to support dynamic, growing needs.

Image
HALO-AP-Dx-Customized-Secure-Deployments