
Lung Macrodissect AI
Developed by Indica Labs, Lung Macrodissect AI is a deep learning tool designed to streamline macrodissection workflows for non-small cell lung cancer (NSCLC) by quantifying tumor content to guide ROI selection and enhance downstream molecular analysis in NSCLC. Lung Macrodissect AI empowers labs with a high-throughput, user-friendly workflow to maximize efficiency.
Lung Macrodissect AI is For Research Use Only and not intended for clinical diagnostic use. Lung Macrodissect AI accessed via the Aperio HALO AP image management system.






Lung Macrodissect in Aperio HALO AP Demonstration
Explore the future with the Lung Macrodissect AI app from Indica Labs. Lung Macrodissect AI seamlessly integrates within the Aperio HALO AP enterprise digital pathology platform to enhance the molecular workflow through automated tumor content reporting of NSCLC resections, excisions, and biopsies.
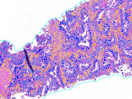
After selecting an image, view the H&E slide in the viewer and the Lung Macrodissect AI results. Results include overlays and quantitative results. The first set of overlays prepare the tissue for analysis by identifying areas of analyzable tissue. The next overlay identifies areas of tumor in the tissue, with the tumor density heatmap highlighting the densest areas of tumor. With the assistance of the heatmap, users identify the dissection area by drawing a region of interest with immediate quantitative feedback on the number of all cells and tumor cells in the region to ensure proper sampling.