HALO Link Image Management System
Overview
Promoting Discovery Through Collaboration
HALO Link is a browser-based digital pathology software solution that helps research organizations worldwide to safely and securely manage, share, and analyze digital slides and data.
Offering flexible data organization with robust search capabilities, seamless collaboration and custom integrations, HALO Link from Indica labs is a pathology workspace without bounds.
HALO Link users can leverage industry-leading image analysis for HALO® and HALO AI. Annotations and analysis results are fully connected between HALO Link and HALO thanks to a shared database. Apply any saved analysis settings or classifiers and visualize results within HALO Link on both brightfield and fluorescence images.
Features
All Your Data, Within Reach
Streamline your workflows and boost productivity by seamlessly incorporating images, metadata, and image analysis. Quickly find and leverage all your data with a flexible study-based architecture, advanced search and filter tools, and customizable and collaborative workflows.
Collaboration Without Limits
Collaborate with colleagues anytime, anywhere with the easy-to-use invitation system in HALO Link. Users can be organized by group and invited simultaneously to studies or personal slide trays for collaboration on shared image markups and analysis results.
Ensure data security and integrity with role-based access permissions. Complement your existing Good Laboratory Practices SOPs with auditing and reason for change capture through the Compliance Add-On.
Flexible Integration and Deployment Options
HALO Link enables you to build the digital pathology ecosystem that fits your needs. A powerful API enables integration with LIS | LIMS systems, compatible third-party image analysis platforms, and other third-party databases.
Time-Saving Automation
Stay up-to-date with newly scanned slides and increase your productivity with the automation capabilities of HALO Link. Users can have new images and data automatically added from slide scanners as soon as they are acquired or pulled from third-party databases. Automated information parsing from 1D and 2D barcodes means less time spent on data entry.
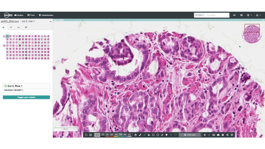
Advanced Viewer and Annotation Tools
HALO Link features a powerful and intuitive browser-based image viewer. Change magnification, toggle and adjust fluorescent channels, and easily pan through images using Ergo mode. Deploy a robust collection of annotation tools, including flood-fill and undo-redo, to efficiently annotate tissues, and take high-resolution snapshots for sharing or publication.
Study-Focused Design
Organize without limits thanks to the study-focused design and flexible data hierarchies of HALO Link. Just a few clicks are needed to move slides between studies or relocate an entire study to a different level. Leverage custom study and slide fields at every level for easy task tracking and metadata organization.
Interactive Markups
Get a deeper understanding of your results, quicker, with interactive markups that allow you to toggle the visibility of cell populations of interest.
Slide Trays
Construct slide trays to temporarily host slides for more selective review with collaborators. Trays can contain slides from multiple studies and any associated metadata, annotations, or analysis markups are included. Inviting collaborators to trays is straightforward due to the intuitive invitation and user group systems.
Advanced Workflows
HALO Link enables users to leverage the latest industry-leading tools in image analysis and classification. With seamless integration with the HALO® platform, users can launch quantitative image analysis using HALO settings, efficiently sort, filter, view, and analyze segmented TMA cores, and deploy advanced HALO AI classifiers.
Customizable Tasks
Organize workflows and track progress and results with the flexible tasks system in HALO Link. Create custom task fields to fit the needs of a study, and quickly update task status within the slide viewer. Sort and filter slides based on task status to identify slides with pending, failed, or completed tasks.
Powerful Search Functionality
Quickly locate slides and studies of interest with the variety of search parameters in HALO Link. Search metadata using compound criteria, navigate to results or add them to a slide tray, and save searches for future reuse or modification.
Auditing and GLP Support
Meet regulatory and compliance requirements with the Compliance Add-on. Labs can leverage exportable study and system-wide audit trails, reason for change capture, and a viewing-only mode.
Robust Admin Tools
HALO Link empowers system administrators to customize their deployment with a fully featured Admin dashboard. Administrators can easily manage configuration details and users, create system-wide metadata fields, view login attempts, and review active jobs and requests.
Insightful Data Visualization
Easily see the big picture by visualizing metadata or analysis results across a study with the diverse plotting tools available in HALO Link. Choose from heatmaps, scatter, violin, and box and whisker plots to evaluate trends and perform quality control checks. Get a closer look at any data point by clicking to open a slide preview or click again to open the slide in a new window.